Liigu edasi põhisisu juurde

Hammaste anatoomia ja oklusioon

Test: hamba anatoomia

Testi ennast:  kas omandasid põhiteadmised hamba anatoomiast?

Mis määrab hamba värvuse?

Leia  igale hambakoele õige kirjeldus.

pulp
hambasäsi, milles on närvid ja veresooned

Unselect

sarnaneb ehituselt luukoele

Unselect

luuaine kiht mis katab juure pinda

Unselect

katab hamba krooni

Unselect

email
hambasäsi, milles on närvid ja veresooned

Unselect

sarnaneb ehituselt luukoele

Unselect

luuaine kiht mis katab juure pinda

Unselect

katab hamba krooni

Unselect

dentiin
hambasäsi, milles on närvid ja veresooned

Unselect

sarnaneb ehituselt luukoele

Unselect

luuaine kiht mis katab juure pinda

Unselect

katab hamba krooni

Unselect

tsement
hambasäsi, milles on närvid ja veresooned

Unselect

sarnaneb ehituselt luukoele

Unselect

luuaine kiht mis katab juure pinda

Unselect

katab hamba krooni

Unselect

Milline neist väidetest on õige?

Milliseid hambaid on kirjeldatud?

ülemised premolaarid
ristkülikukujulse hamba pinnal on neli küpru, mis on eraldatud ristikujuliselt paiknevate fissuuridega

Unselect

hambad on vähemalt kahe köbruga, millest bukaalne on suurem ja kõrgem

Unselect

hambad on nelja köbruga, läbilõikelt rombikujulised

Unselect

hammaste välispind on kumer, sisepind nõgus

Unselect

ülemine ja alumine hammas on suhteliselt sama kujuga

Unselect

neil on kaks võrdse suuruse ja kõrgusega köpru

Unselect

ülemised molaarid
ristkülikukujulse hamba pinnal on neli küpru, mis on eraldatud ristikujuliselt paiknevate fissuuridega

Unselect

hambad on vähemalt kahe köbruga, millest bukaalne on suurem ja kõrgem

Unselect

hambad on nelja köbruga, läbilõikelt rombikujulised

Unselect

hammaste välispind on kumer, sisepind nõgus

Unselect

ülemine ja alumine hammas on suhteliselt sama kujuga

Unselect

neil on kaks võrdse suuruse ja kõrgusega köpru

Unselect

kaniinid
ristkülikukujulse hamba pinnal on neli küpru, mis on eraldatud ristikujuliselt paiknevate fissuuridega

Unselect

hambad on vähemalt kahe köbruga, millest bukaalne on suurem ja kõrgem

Unselect

hambad on nelja köbruga, läbilõikelt rombikujulised

Unselect

hammaste välispind on kumer, sisepind nõgus

Unselect

ülemine ja alumine hammas on suhteliselt sama kujuga

Unselect

neil on kaks võrdse suuruse ja kõrgusega köpru

Unselect

alumised molaarid
ristkülikukujulse hamba pinnal on neli küpru, mis on eraldatud ristikujuliselt paiknevate fissuuridega

Unselect

hambad on vähemalt kahe köbruga, millest bukaalne on suurem ja kõrgem

Unselect

hambad on nelja köbruga, läbilõikelt rombikujulised

Unselect

hammaste välispind on kumer, sisepind nõgus

Unselect

ülemine ja alumine hammas on suhteliselt sama kujuga

Unselect

neil on kaks võrdse suuruse ja kõrgusega köpru

Unselect

alumised premolaarid
ristkülikukujulse hamba pinnal on neli küpru, mis on eraldatud ristikujuliselt paiknevate fissuuridega

Unselect

hambad on vähemalt kahe köbruga, millest bukaalne on suurem ja kõrgem

Unselect

hambad on nelja köbruga, läbilõikelt rombikujulised

Unselect

hammaste välispind on kumer, sisepind nõgus

Unselect

ülemine ja alumine hammas on suhteliselt sama kujuga

Unselect

neil on kaks võrdse suuruse ja kõrgusega köpru

Unselect

ülemised intsisiivid
ristkülikukujulse hamba pinnal on neli küpru, mis on eraldatud ristikujuliselt paiknevate fissuuridega

Unselect

hambad on vähemalt kahe köbruga, millest bukaalne on suurem ja kõrgem

Unselect

hambad on nelja köbruga, läbilõikelt rombikujulised

Unselect

hammaste välispind on kumer, sisepind nõgus

Unselect

ülemine ja alumine hammas on suhteliselt sama kujuga

Unselect

neil on kaks võrdse suuruse ja kõrgusega köpru

Unselect

Leia struktuuridele sobivad kirjeldused.

lõikeserv
on süvend hambapinnal

Unselect

on vaod hamba oklusaalpinnal

Unselect

on ainult esihammastel, sest neil puudub mälumispind

Unselect

on kõrgemad alad, mis ühendavad köprude külgpindasid

Unselect

on hambakrooni kõrgemad koonusekujulised osad

Unselect

kulgeb diagonaalselt üle mälumispinna ja esineb ainult ülemistel molaaridel

Unselect

on ümar, kõrgem ala, mis jääb hamba distaalsele või mesiaalsele servale

Unselect

köbrud
on süvend hambapinnal

Unselect

on vaod hamba oklusaalpinnal

Unselect

on ainult esihammastel, sest neil puudub mälumispind

Unselect

on kõrgemad alad, mis ühendavad köprude külgpindasid

Unselect

on hambakrooni kõrgemad koonusekujulised osad

Unselect

kulgeb diagonaalselt üle mälumispinna ja esineb ainult ülemistel molaaridel

Unselect

on ümar, kõrgem ala, mis jääb hamba distaalsele või mesiaalsele servale

Unselect

harjad
on süvend hambapinnal

Unselect

on vaod hamba oklusaalpinnal

Unselect

on ainult esihammastel, sest neil puudub mälumispind

Unselect

on kõrgemad alad, mis ühendavad köprude külgpindasid

Unselect

on hambakrooni kõrgemad koonusekujulised osad

Unselect

kulgeb diagonaalselt üle mälumispinna ja esineb ainult ülemistel molaaridel

Unselect

on ümar, kõrgem ala, mis jääb hamba distaalsele või mesiaalsele servale

Unselect

ääreliist
on süvend hambapinnal

Unselect

on vaod hamba oklusaalpinnal

Unselect

on ainult esihammastel, sest neil puudub mälumispind

Unselect

on kõrgemad alad, mis ühendavad köprude külgpindasid

Unselect

on hambakrooni kõrgemad koonusekujulised osad

Unselect

kulgeb diagonaalselt üle mälumispinna ja esineb ainult ülemistel molaaridel

Unselect

on ümar, kõrgem ala, mis jääb hamba distaalsele või mesiaalsele servale

Unselect

lohk
on süvend hambapinnal

Unselect

on vaod hamba oklusaalpinnal

Unselect

on ainult esihammastel, sest neil puudub mälumispind

Unselect

on kõrgemad alad, mis ühendavad köprude külgpindasid

Unselect

on hambakrooni kõrgemad koonusekujulised osad

Unselect

kulgeb diagonaalselt üle mälumispinna ja esineb ainult ülemistel molaaridel

Unselect

on ümar, kõrgem ala, mis jääb hamba distaalsele või mesiaalsele servale

Unselect

põikihari
on süvend hambapinnal

Unselect

on vaod hamba oklusaalpinnal

Unselect

on ainult esihammastel, sest neil puudub mälumispind

Unselect

on kõrgemad alad, mis ühendavad köprude külgpindasid

Unselect

on hambakrooni kõrgemad koonusekujulised osad

Unselect

kulgeb diagonaalselt üle mälumispinna ja esineb ainult ülemistel molaaridel

Unselect

on ümar, kõrgem ala, mis jääb hamba distaalsele või mesiaalsele servale

Unselect

fissuurid
on süvend hambapinnal

Unselect

on vaod hamba oklusaalpinnal

Unselect

on ainult esihammastel, sest neil puudub mälumispind

Unselect

on kõrgemad alad, mis ühendavad köprude külgpindasid

Unselect

on hambakrooni kõrgemad koonusekujulised osad

Unselect

kulgeb diagonaalselt üle mälumispinna ja esineb ainult ülemistel molaaridel

Unselect

on ümar, kõrgem ala, mis jääb hamba distaalsele või mesiaalsele servale

Unselect

Leia loetelust omadusi, mis iseloomustavad jäävhambaid (võrreldes piimahammastega).

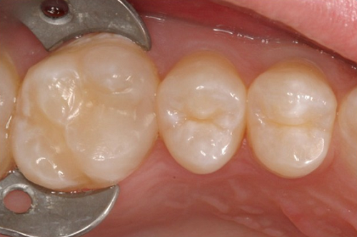
Ühele hambale on asetatud kofferdami klamber (metallist). Millise hambaga on tegemist? Leia KÕIK sobivad nimetused, mis seda hammast kirjeldavad ().

1test-2.png

http://pixgood.com/molar-cavity-side.html

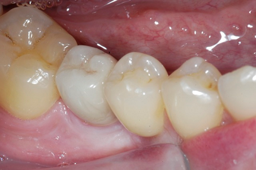
Sellel fotol näed hambarida. Mis hammas on rea keskel? Leia KÕIK seda hammast kirjeldavad nimetused ().

1test-3.png

https://www.facialart.com/success-stories-dc-dentist-reviews/dental-implants-before-after-oral-surgeon-washington-dc/single-tooth-replacement/grafting-implants-for-molars-dentist-bethesda-maryland/

Leia õiged nimetused.

1test-4.png

valge
köbrunõlv

Unselect

köbrutipp

Unselect

pikifissuur

Unselect

põikihari

Unselect

lohk

Unselect

põikfissuur

Unselect

risti- ehk transversaalne hari

Unselect

köbruhari

Unselect

ääreliist ehk äärehari

Unselect

kollane
köbrunõlv

Unselect

köbrutipp

Unselect

pikifissuur

Unselect

põikihari

Unselect

lohk

Unselect

põikfissuur

Unselect

risti- ehk transversaalne hari

Unselect

köbruhari

Unselect

ääreliist ehk äärehari

Unselect

must
köbrunõlv

Unselect

köbrutipp

Unselect

pikifissuur

Unselect

põikihari

Unselect

lohk

Unselect

põikfissuur

Unselect

risti- ehk transversaalne hari

Unselect

köbruhari

Unselect

ääreliist ehk äärehari

Unselect

hall
köbrunõlv

Unselect

köbrutipp

Unselect

pikifissuur

Unselect

põikihari

Unselect

lohk

Unselect

põikfissuur

Unselect

risti- ehk transversaalne hari

Unselect

köbruhari

Unselect

ääreliist ehk äärehari

Unselect

helesinine
köbrunõlv

Unselect

köbrutipp

Unselect

pikifissuur

Unselect

põikihari

Unselect

lohk

Unselect

põikfissuur

Unselect

risti- ehk transversaalne hari

Unselect

köbruhari

Unselect

ääreliist ehk äärehari

Unselect

tumesinine
köbrunõlv

Unselect

köbrutipp

Unselect

pikifissuur

Unselect

põikihari

Unselect

lohk

Unselect

põikfissuur

Unselect

risti- ehk transversaalne hari

Unselect

köbruhari

Unselect

ääreliist ehk äärehari

Unselect

tumeroheline
köbrunõlv

Unselect

köbrutipp

Unselect

pikifissuur

Unselect

põikihari

Unselect

lohk

Unselect

põikfissuur

Unselect

risti- ehk transversaalne hari

Unselect

köbruhari

Unselect

ääreliist ehk äärehari

Unselect

heleroheline
köbrunõlv

Unselect

köbrutipp

Unselect

pikifissuur

Unselect

põikihari

Unselect

lohk

Unselect

põikfissuur

Unselect

risti- ehk transversaalne hari

Unselect

köbruhari

Unselect

ääreliist ehk äärehari

Unselect

punane
köbrunõlv

Unselect

köbrutipp

Unselect

pikifissuur

Unselect

põikihari

Unselect

lohk

Unselect

põikfissuur

Unselect

risti- ehk transversaalne hari

Unselect

köbruhari

Unselect

ääreliist ehk äärehari

Unselect

Fotol on üks hammas saanud trauma, mille tagajärjel on tükike hambaemaili murdunud. Millise hambaga on tegemist? Leia loetelust KÕIK nimetused, mis seda hammast kirjeldavad.

1test-1.png

http://www.reallyhealthystuff.com/chipped-tooth/

Millised hambad kuuluvad eeshammaste hulka?


 

Accept Cookies